







Dr. Zipper is a Boca Raton native and orthodontic specialist trained at Cornell University, Nova Southeastern University, and Temple University, where he completed advanced training in Orthodontics and Dentofacial Orthopedics and earned a Master of Science in Oral Biology.
He graduated Cum Laude from Cornell and was inducted into the Omicron Kappa Upsilon Dental Honor Society, a distinction reserved for top dental professionals. He also received The Chancellor Award, the highest honor awarded to a dental student for excellence in patient care, leadership, and integrity.
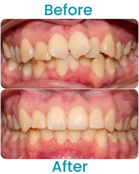
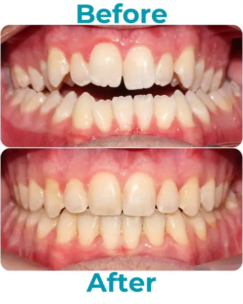
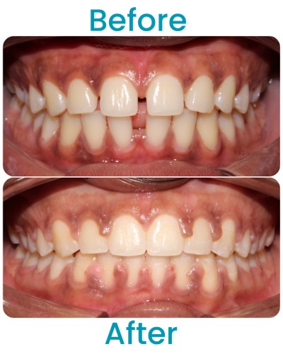
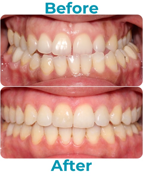
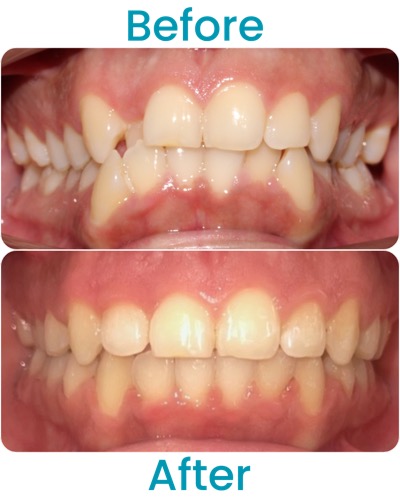
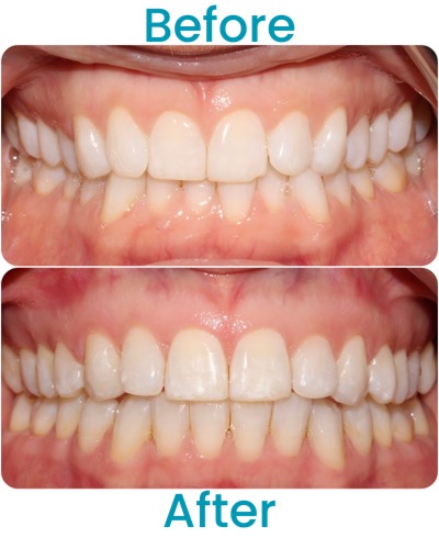
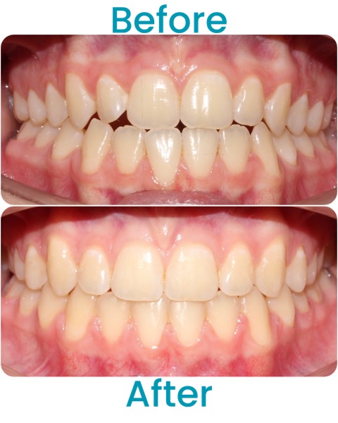
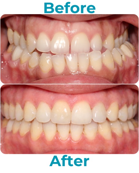
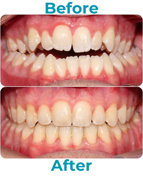
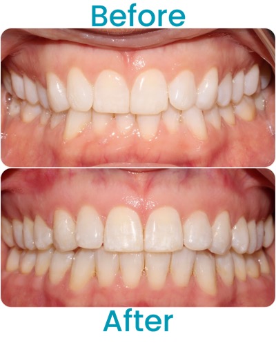
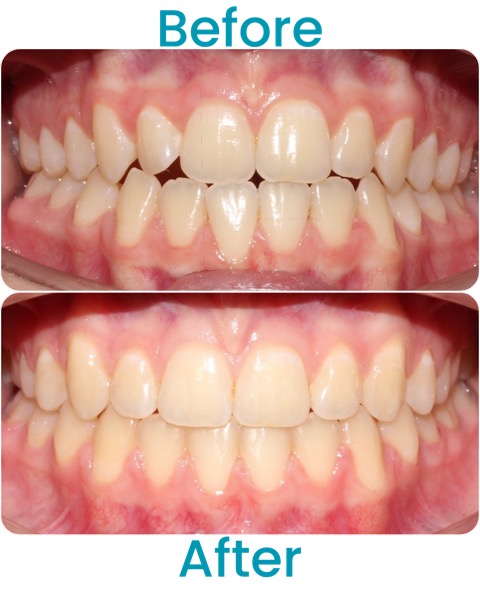
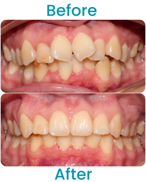
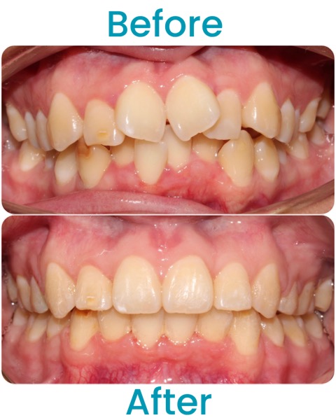
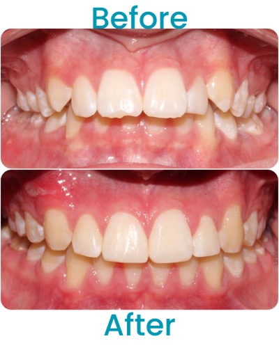
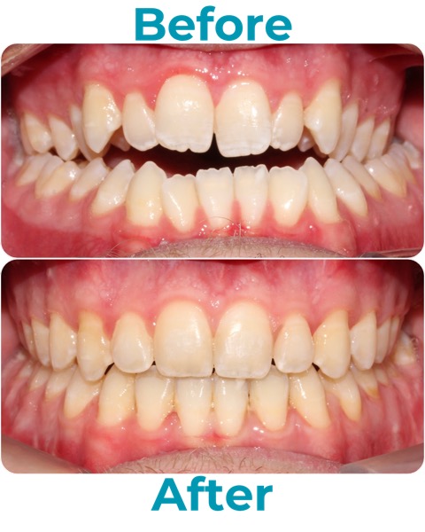
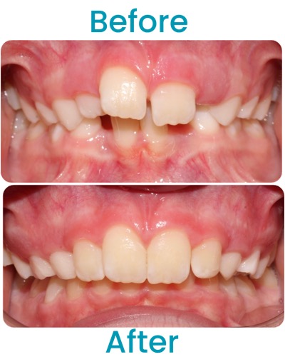
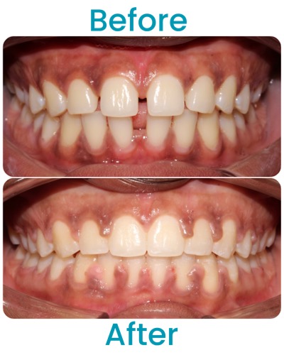
See the Transformations
What we offer










The Zipper Family
Every smile has a story. Here are some of our favorites.
































We Accept Most
Major Insurance Plans
Most patients save from $750 to $3,000 — and in some cases, insurance covers 100% of the cost!
See Insurance Plans We Accept →



































Flexible Ways to Pay
We believe everyone deserves a great smile. Multiple payment options so you can get started today.
0% Interest Financing
Up to 24 months interest-free through CareCredit and Cherry.
Insurance Maximized
We file claims and fight for every dollar of your coverage.
Pay-in-Full Discount
Save when you pay for treatment upfront at the start.
Family & Military Discounts
Special pricing for families and those who serve.


Book Free Consult







